ÄÔ³öѪÍâÉ˳öÔººó£¬ÔÚ¼ÒµÄÇé¿ö
ÈËÆø£º
¡¾×ÖÌ壺´ó ÖРС¡¿
·¢²¼Ê±¼ä£º2008-09-16 10:25:19
>>>>>>>>ÌáÎÊÎÒ°ÖÔÚ6ÔÂ27ÈÕÁ賿5µãµÄʱºò£¬ÈýÂÖ³µºÍÈýÂÖ³µÏàײÁË£¬ÎÒ°ÖÄÔÄÚ³öѪ£¬ÏÖÔÚÔÚÉÛÒÝ·òÒ½ÔºÖÎÁÆ£¬µ±Ê±Ò½Éú˵¿ÉÒÔ¶¯ÊÖÊõ£¬¿ÉÒÔ²»¶¯ÊÖÊõ¡£ÒòΪÎÒ°Ö˵»°Ò²»á˵£¬Ö»ÊÇÉñÖ¾²»Ç壬¾¿¼ÂǺ󣬾ö¶¨ÔÝʱ²»¶¯ÊÖÊõ£¬¹Û²ì¼¸ÌìÔÙ˵£¬ÏÖÔÚÒѾµÚ24ÌìÁË£¬±È֮ǰ³µ»öµÄʱºòºÃ¶àÁË£¬ÄÔÄÚѪ¿éºÍË®Ö×ҲûÓÐÀ©´ó£¬´óС±ã¶¼×Ô¼º»á½â£¬µ«ÊǺÍËû˵»°µÄʱºò£¬ÓÐʱÇåÐÑ£¬ÓÐʱ²»ÇåÐÑ
CTʱ¼ä2008-07-15 ÔçÉÏ9µãÖÓ
/art_img/200809/16_1025198869.jpg
/art_img/200809/16_1025207460.jpg
/art_img/200809/16_1025203234.jpg
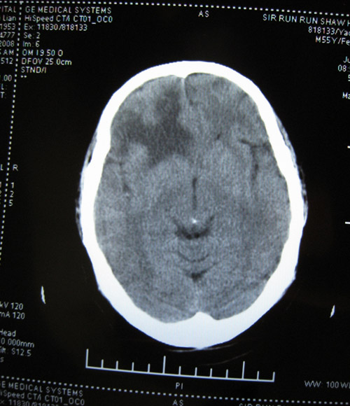
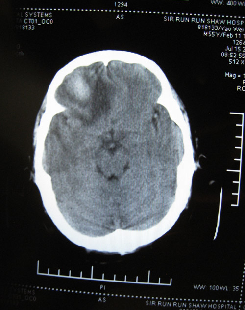
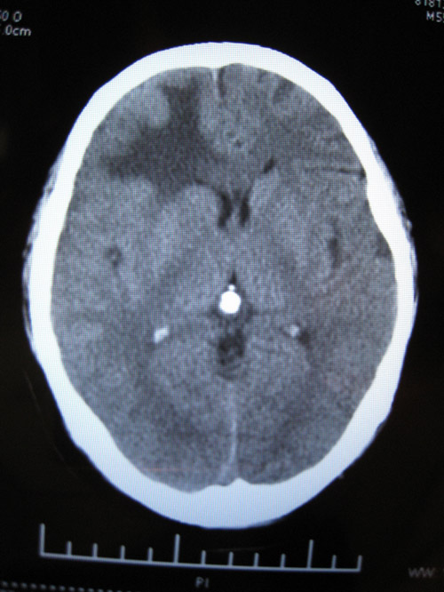
CT±¨¸æ
ÓÒ²à¶îÒ¶¼ûÇ·¹æÔòÍÅÆ¬ÉÔ¸ßÃܶÈÓ°£¬ÆäÖܱ߼ûƬ״µÍÃܶÈÓ°Ë®Ö×Ó°»·ÈÆ£¬±ß½çÇ·Ç壬¾Ö²¿¿É¼ûռλЧӦ£¬ÓÒ²à¶îò¨Ò¶ÄÔ¹µ±ädz£»ÓàÄÔʵÖÊÄÚδ¼ûÒì³£ÃܶÈÓ°£¬ÖÐÏßÏò×ó²àÒÆÎ»£¬Â¹Çδ¼ûÃ÷ÏÔ¹ÇÕÛ¡£
ÎÊÌâ²¹³ä£ºCTƬ2008-07-15 µÄÓ¡ÏóÊÇ£ºÓÒ²à¶îÒ¶ÄÔ´ìÁÑÉ˰éѪÖ×Ðγɣ¬¶ÔÕÕ08.07.09ƬѪÖ×ÉÔÎüÊÕ£¬Ë®Ö×Ïà·Â¡£
ÎÒÃÇÏÖÔÚÒѾ³öÔºÁË£¬¿ÉÊǵ½¼ÒÀ¼ûµ½ÁÚ¾ÓÈ˶¼ÈÏʶ£¬¾ÍÊÇ˵»°µÄʱºòÂÒ˵£¬¶Ô²»ÉϺ𣻨¼ÒµÚÒ»ÌìÀϰֳöÏÖ38.5¶ÈµÄ·¢ÉÕ£¬ÓÃ̩ŵҩ¿ØÖƺó£¬ÍËÁË£¬¿ÉÊǹýÁËÒ»ÌìÓÖ¸ßÁË£¬ÏÖÔÚÔÚ¸øËû¹ÒÏûÑ×ÑÎË®£¬Õâ¿ÉÔõô°ì£¿
˵Á˵ÈÓÚûÓÐ˵
ÐÝ ÏÐ ¾Ó ±à ¼
>>>>>>>>ÐÝÏÐÑøÉúÍø»Ø´ð£ºCT±¨¸æ
ÓÒ²à¶îÒ¶¼ûÇ·¹æÔòÍÅÆ¬ÉÔ¸ßÃܶÈÓ°£¬ÆäÖܱ߼ûƬ״µÍÃܶÈÓ°Ë®Ö×Ó°»·ÈÆ£¬±ß½çÇ·Ç壬¾Ö²¿¿É¼ûռλЧӦ£¬ÓÒ²à¶îò¨Ò¶ÄÔ¹µ±ädz£»ÓàÄÔʵÖÊÄÚδ¼ûÒì³£ÃܶÈÓ°£¬ÖÐÏßÏò×ó²àÒÆÎ»£¬Â¹Çδ¼ûÃ÷ÏÔ¹ÇÕÛ¡£
ѪÖ×ѹÆÈѪ¹ÜÉñ¾¡°ÖÐÏßÏò×ó²àÒÆÎ»¡±¡°Õ¼Î»Ð§Ó¦¡±
½¨ÒéÎÊ´ó·ò¸ø³öºÃµÄÖÎÁÆ·½·¨¡£ ²»¿ÉÂí»¢
×£ÔçÈÕ¿µ¸´ £¡1
¡Ô ²é¿´¡¢·¢±íÆÀÂÛ ¡Ô